Pain relief solutions for neck spine issues include cervical spine surgery handled by surgeons, Chennai.

Top Spine Neurosurgeon for Cervical Surgery in Chennai

Your neck has a part called the cervical spine. It holds up your head and lets you move it around. Sometimes, things go wrong in your neck. Discs can bulge, nerves can get squeezed, or bones can change. This can cause neck pain, weak arms, or trouble moving your neck. At Chennai Neuroscience Foundation, we find out what's causing these problems. We use special scans and nerve tests. Sitting for long times, lifting heavy things, getting older, or injuries can cause these issues.

We offer different ways to help. Some treatments don't involve surgery. We also do surgeries like removing a disc, joining bones together, or putting in a new disc. Our team is good at neck surgeries. We make sure to protect your nerves and stop the pain. We try to do as little damage as possible so you heal faster and the problem doesn't come back. At Chennai Neuroscience Foundation, we want you to feel good again, move easily, and live without pain.

Neck Spine Conditions Treated by Expert Spine Specialists

  • Cervical Disc Herniation

    A neck bulging disc presses spinal nerves and causes numbness in the arms and neck pain.

  • Cervical Spondylotic Myelopathy

    Pressure on the spinal cord and decreased mobility result from cervical nerve wear and tear.

  • Radiculopathy

    Pinned-down cervical nerves can result in radiating pain, weakness, or numbness in the shoulders and arms.

  • Spinal Canal Stenosis

    The narrowing of the cervical canal compresses the cord, causing nerve dysfunction.

  • Cervical Spine Trauma

    Fractures or injuries to the neck need to be treated promptly to prevent spinal cord damage.

Advanced Cervical Spine Care by Leading Spine Surgeons

Medicines play a big role in easing cervical pain, reducing inflammation & spine problems safely, Chennai.

Medications

We manage in terms of relieving the symptoms of the cervical spine condition by treating with pain medications, anti-inflammatory medications, or by using muscle relaxants. They control pain, reduce swelling, and help people improve activities of daily living without emergency surgery.

Supportive neck braces offer extra comfort, protect spine alignment & help cervical recovery daily, Chennai.

Neck Braces

We use soft or rigid neck braces to support the cervical spine and reduce movement. This allows injured structures to heal naturally and provides comfort for patients with instability or strain.

Rehabilitation with gentle physiotherapy improves neck movement & restores cervical spine health, Chennai.

Physiotherapy

The given therapy conducted by us contributes to improved neck mobility and emphasizes training on strengthening the muscles that support the cervical spine. It minimizes the stiffness, betters posture, and promotes the long-term health of the spine with non-invasive treatment.

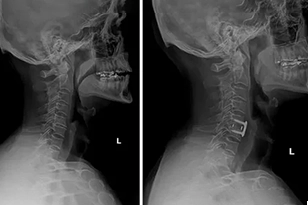
Nerve pressure relief through discectomy & fusion helps reduce pain & improve cervical movement daily, Chennai.

Anterior Cervical Discectomy & Fusion (ACDF)

We remove the damaged disc through a small front-neck incision and fuse the bones. ACDF surgery helps relieve nerve compression and stabilizes the cervical segment to stop pain and weakness.

Replacing a worn cervical disc helps reduce neck pain & restores spine flexibility for daily activity, Chennai.

Cervical Disc Replacement

We do not fuse it, we extract the diseased and replace this with an artificial disc. Replacement of the disc in cervical surgery maintains natural movement in the neck and limits pressure on the neighboring vertebrae.

This posterior decompression technique relieves nerve root pressure & eases cervical pain, Chennai.

Posterior Decompression Techniques

We release the strain on the spinal cord or nerves at the back of the neck. This comprises laminoplasty or foraminotomy, and this provides good relief for such conditions as spinal canal stenosis.

What to Expect During Recovery

  • Hospital stay duration and discharge timeline
  • Initial healing phase and wound care instructions
  • Gradual return to light daily activities
  • Spine posture and neck movement precautions
  • Return-to-work expectations and physical limits
  • Personalized physiotherapy goals and mobility milestones
  • Pain management and medication schedule
  • Do’s and Don’ts during the first few weeks
  • Follow-up scan schedules and surgical review checkups
  • Long-term care to maintain spine health

Advanced Solutions for Cervical Spine Disorders in Chennai

Best Neurosurgery Hospital in Chennai | Expert Neurosurgeon
Surgery Room Equipped for Safe Cervical Spine Care, Chennai

Microsurgical & Minimally Invasive Techniques

Our surgeons perform fine procedures with minor cuts to minimize blood loss and save more healthy tissue that can prolong your stay in a hospital after surgery.

Real-Time Neuromonitoring in Brain and Spine Surgery

Intraoperative Neuromonitoring

We observe the signals in the nerves in real-time sense to prevent the damage and uphold the functionality of the spinal cord and nerves at each stage during surgery.

Fast Recovery Plans for Cervical Spine Treatments, Chennai

Fast-Track Recovery

Our surgical procedures, rehabilitation treatments, and pain management mechanisms enable patients to attain a quicker recovery period with reduced pain and more effective long-term progression of motor abilities.

Neck Stability & Pain Management for Cervical Spine, Chennai

Improved Neck Stability & Function

Surgery will provide the disc with the correct position which is beneficial in the posture, balance, and easy to carry out day to day chores.

Why Chennai Neuroscience Foundation for Cervical Spine Surgery?

Spinal Cord Care for Cervical Disc & Neck Disorders, Chennai

Specialized Cervical Spine Surgeons

We are a professional team performing intricate neck disease risk-free surgical procedures that maintain spinal stability and motion.

Experienced Neurosurgeon for Cervical Spine Care, Chennai

Microsurgical Precision Techniques

Our cervical spine surgeries are facilitated by state-of-the-art microsurgery and intraoperative neuromonitoring, which is used to ensure protection of nerves and minimize trauma.

Regeneration & Fast Recovery for Cervical Spine, Chennai

Fast Recovery with Rehab Support

We will organize the post-operation process by arranging physiotherapy, ergonomic advice, and constant follow-up to allow the patients to get back to their everyday lives sooner.

Our Cashless Insurance Partners

  • VIDAL Health Insurance TPA Ltd

  • Medi Assist India TPA

  • Medsave Health Insurance TPA Ltd

  • Vipul MedCorp Insurance TPA Pvt Ltd

  • Meadvantage TPA

  • Genins India TPA

  • Health Insurance TPA

  • Alankit Insurance TPA Ltd

  • Health India Insurance TPA

  • Ericson General Insurance

  • New India Insurance

  • United India Insurance

  • Oriental Insurance

  • Aditya Birla Health Insurance

  • Bajaj Allianz General Insurance

  • Cholamandalam MS General Insurance Co Ltd

  • Future Generali Insurance

  • ICICI Lombard

  • Iffco Tokio Health Insurance

  • Liberty General Insurance

  • Manipal Cigna TTK Ltd

  • Reliance General Insurance

  • Care Health Insurance

  • Royal Sundaram Insurance

  • Universal Sompo General insurance co ltd

  • Galaxy Health Insurance

  • Good Health TPA

  • MD India TPA

  • Paramount TPA

  • Tata AIG

  • Family Health Plan (FHPL)

  • Heritage Health Insurance TPA

  • Volo Health Insurance (East–West TPA)

  • Chief Minister Scheme

  • Tamil Nadu Govt Employee Scheme

  • TN Govt Retired Employee Scheme

  • National Insurance

  • HDFC ERGO General Insurance Co Ltd

  • Go Digit General Insurance

  • Star Health and Allied insurance Co Ltd

  • Niva Bupa Health Insurance

  • Raksha Health Insurance TPA

Effective spine cure therapy in Chennai to relieve back pain, improve mobility, and restore function
SPECIAL CARE

Book Trusted Neck Surgery at Chennai Neuroscience Today

Chennai Neuroscience offers expert neck surgery with advanced techniques and fast recovery. Get relief from chronic pain, restore mobility, and protect your spinal health with timely treatment and care.

Know About Cervical Spine Surgery Recovery and Results

Death may be associated with diseases, which include disc herniation, cervical spondylosis, myelopathy, and trauma, and include surgery when symptoms cause any nerve-related or mobility effects.

Pain is easily controlled by drugs, and less invasive technologies minimize post-surgery pain and aid faster recovery.

The type of surgery and adherence to rehabilitation usually determine the period of recovery, which averages 4 to 8 weeks.

Yes, there are cases when it uses a short course of a brace to stabilize the neck and aid recovery.

A considerable number of patients are able to resume normal activities once they have fully recovered, and with posture training and exercises, they do not strain so much.